Gallery

Experience the smiles we’ve created through real moments with our patients and dedicated dental team. Explore our gallery featuring video testimonials, treatment snapshots, and patient interactions with Dr. Sumedha and team.

Patient Testimonials

Case studies

Smile Restored with Root Canal Treatment Results
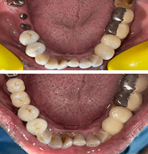
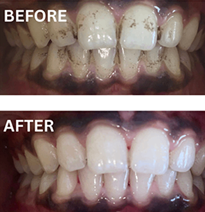
Plaque-Free Smile After Dental Scaling Treatment

Smile Restored with Root Canal Treatment Results

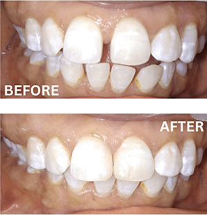
Smile Design Transformation with Natural Tooth Contours
Tooth Gap Closure with Conservative Treatment
Facial Support Restored with Full Dentures
Full Mouth Dental Implant Restoration Success
Painless Gum Correction with Laser Dentistry
Tooth Restoration with Composite Dental Fillings
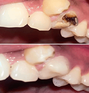
Root Canal Treatment to Save Infected Tooth

Patient Treatment

Elderly Patient Shows Satisfaction After Treatment
Consultation Session with Female Dental Patient
Dental Cleaning Procedure with High-Precision Tools
Implant Surgery Using OSTEEM Surgical System
Happy Child with Dentist After Dental Visit
Laser Dentistry in Progress for Adult Patient
Smiling Boy and Dentist After Treatment
Implant Procedure for Elderly Patient in Progress
Doctor Reviewing X-Ray with Patient in Chair
Dr. Sumedha Preparing X-Ray Machine for Patient Exam
Child Undergoing Oral Scan with Dentist’s Help
Dental Procedure Performed with Assistant Support
Restorative Dental Procedure Using Advanced Technology
Advanced Treatment Performed in Sterile Environment
Patient Receiving Clear Aligner Package
Young Man with Dentist After Procedure
Happy Patient with Dr. Sumedha Post Treatment
Invisalign Aligner Handed Over to Young Patient
Dr. Sumedha Giving Oral Health Seminar Presentation